
Adult Treatment
It’s Never Too Late to
Transform Your Smile
Orthodontic treatment isn’t just for children and teens—more adults than ever are choosing to improve their smiles. At JMG Orthodontics, we offer modern solutions tailored specifically to adults who want a straighter, healthier smile without disrupting their daily routine. Whether it’s correcting long-standing bite issues or making cosmetic improvements, treatment at any age can boost confidence and improve oral health.
Adults today have more options than ever, from nearly invisible Invisalign® clear aligners to discreet ceramic braces and advanced self-ligating brackets. These treatments are designed with comfort, convenience, and aesthetics in mind, making orthodontic care easier to fit into a busy lifestyle. Beyond appearance, orthodontic treatment can improve bite function, reduce the risk of gum disease and uneven wear, and support overall dental health. Dr. Griffies works with each adult patient to develop a customized treatment plan that addresses both functional needs and personal goals—helping you achieve a smile that looks and feels its very best.
Adult Treatment Examples
Orthodontic issues aren’t limited to childhood—many adults experience shifting teeth, crowding, or bite problems over time. Conditions like jaw discomfort, excessive wear on teeth, or difficulty keeping crowded areas clean can signal the need for orthodontic care. Addressing these problems early helps protect oral health and ensures your smile stays strong and confident at every age.
Anterior Crossbite
Top teeth are behind bottom teeth.
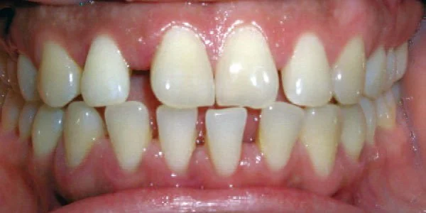
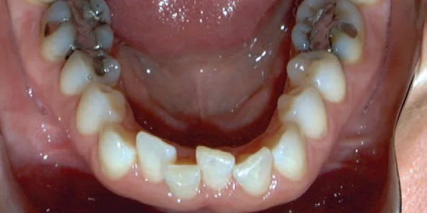
Crowding
Teeth are out of alignment due to lack of space
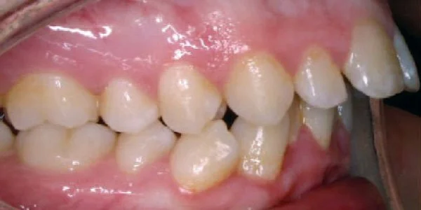
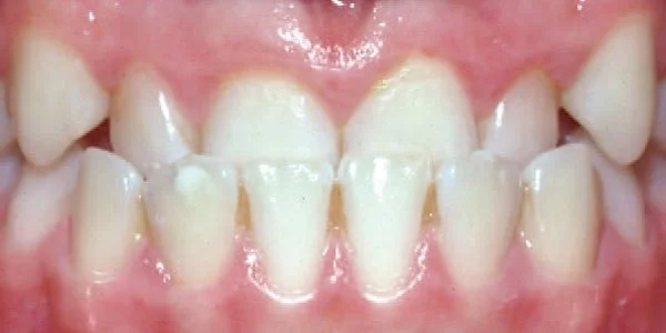
Protrusion
Upper teeth stick out beyond lower teeth
Periodontal Problems
A bad bite can contribute to gum recession & loss of support for teeth.
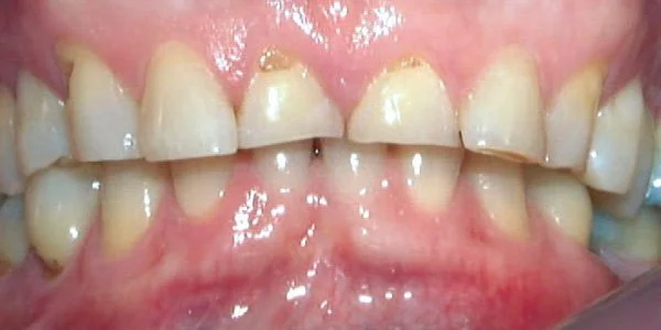
Spacing
Gaps between teeth
Open Bite
Front teeth do not meet when back teeth are closed.
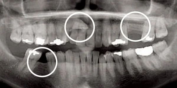
Impacted/Missing Teeth
X-ray shows problem areas