
Early Treatment
The Benefits of Early
Treatment for Children
While most orthodontic treatment begins between the ages of 9 and 14, some issues are easier to correct when addressed earlier. At JMG Orthodontics, Dr. John Mark Griffies carefully evaluates each child’s smile to determine if early treatment is recommended. Beginning treatment at the right time can make a significant difference in how teeth and jaws develop, helping children avoid more serious problems later in life.
Early orthodontic treatment, sometimes called Phase I treatment, focuses on guiding growth and development before all the permanent teeth have erupted. By addressing concerns early, Dr. Griffies can:
Guide proper jaw growth and development
Lower the risk of injury to protruding front teeth
Correct harmful habits like thumb-sucking or tongue thrusting
Improve appearance and boost self-esteem during childhood
Guide permanent teeth into better alignment
Support balanced facial development and lip function
Problems to Watch for in Growing Children
As children grow, certain orthodontic issues may become noticeable. Signs such as crowded teeth, difficulty chewing, mouth breathing, thumb-sucking, or jaws that shift can indicate the need for early evaluation. Identifying these problems early allows Dr. Griffies to guide proper growth and prevent more complex issues later on.
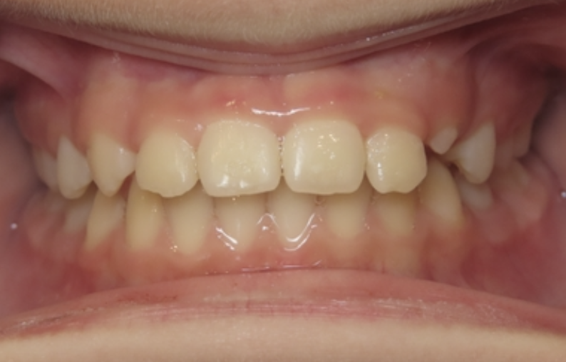
Anterior Crossbite
Top teeth are behind bottom teeth.
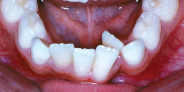
Crowding
Lack of space causes crowding as teeth erupt.
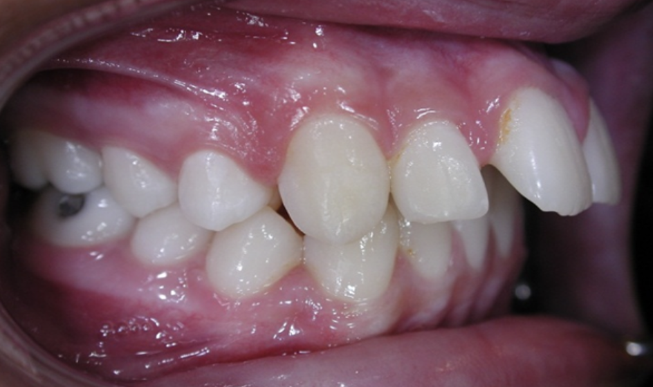
Protrusion
Upper teeth stick out beyond the lower teeth.
Underbite
Lower teeth sit in front of upper teeth when back teeth are closed.
Posterior Crossbite
Top teeth are inside of bottom teeth.
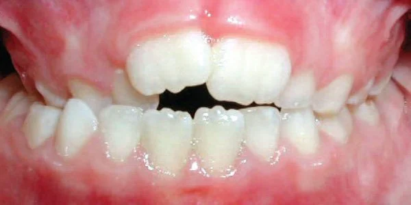
Openbite
Front teeth do not meet when teeth are closed.
Ectopic Eruption
Ectopically erupting maxillary molar
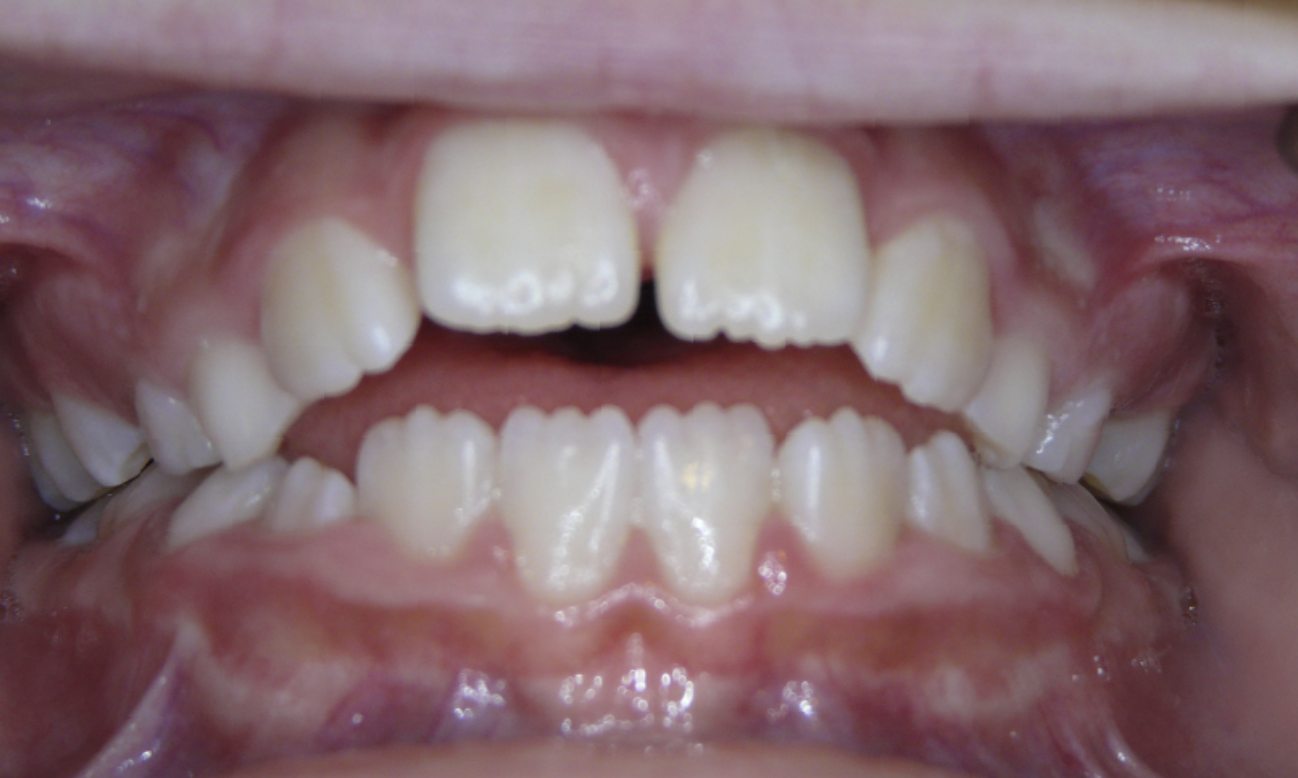
Diastema
Gaps between teeth
Oral Habits
Sucking on thumbs or fingers