Other Appliances

How Orthodontic Appliances Enhance Treatment

While braces and Invisalign® are the most familiar orthodontic treatments, many patients benefit from additional appliances that guide growth, maintain space, or provide support during treatment. At JMG Orthodontics, Dr. John Mark Griffies uses a variety of appliances to ensure every patient’s teeth and jaws develop in harmony. These tools are custom-made for each patient, working alongside braces or aligners to create a balanced, long-lasting smile.

Orthodontic appliances may be used to expand the palate, hold space for erupting permanent teeth, or provide extra anchorage for braces. Common appliances include expanders, retainers, space maintainers, and anchorage devices. Each serves a unique purpose in improving function, comfort, and long-term stability. Dr. Griffies carefully explains when and why an appliance may be needed, ensuring patients and families feel confident and informed throughout treatment.

Common Orthodontic Appliance Examples

Orthodontic appliances come in many forms, each designed to support different aspects of treatment. From expanders that widen the upper jaw to space maintainers that hold room for permanent teeth, these appliances play an important role in guiding healthy growth and ensuring braces or aligners deliver the best results.

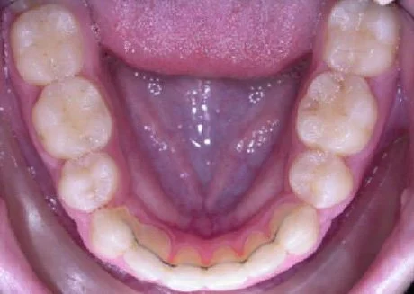
Lower Lingual Arch

The lower lingual arch is used both as a Space Maintainer in young patients without all of their permanent teeth and an “anchorage” appliance in patients with full braces.

Palatal Expander

The Palatal Expander is used to increase the width of the upper jaw to correct cross bites and expand a narrow jaw to the correct width.

Retainers

A lower wire bonded to the inside of the lower front teeth maintains their position.

Nance Holding Arch

The Nance Holding Arch is used both as a Space Maintainer in young patients without all of their permanent teeth and an “anchorage” appliance in patients with full braces.

Transpatal Bar

The transpalatal bar fits on the roof of the mouth and anchors the molars in place while the remaining teeth are moved with braces. The transpalatal bar can also be used to move the molars eitherto expand or turn.

Clear Retainers

Clear plastic retainers are also worn for the first year after treatment and then weekly there after. Unfortunately teeth will continue to shift as we age and the best way to prevent movement is to use a retainer periodically to insure shifting is kept to a minimum.

Schedule an Appointment Today

(910) 673-0820