
Adolescent Treatment
Orthodontic Care Designed
for Growing Smiles
The adolescent years—typically between ages 11 and 14—are often the best time to begin orthodontic treatment. By this stage, most permanent teeth have erupted, making it possible to address issues like crowding, gaps, and misalignment effectively. Many teens are also enthusiastic about starting braces during this age range, which helps ensure treatment success and builds excitement for their future smile.
Adolescent treatment focuses on correcting dental and bite concerns while your child is still growing, allowing for quicker and more effective results. Braces during this time can close gaps, align crooked teeth, and correct overcrowding, creating both a healthier bite and improved self-confidence. Dr. John Mark Griffies works closely with each patient and family to develop a personalized plan—whether that includes metal braces, ceramic brackets for a more discreet look, or Invisalign® clear aligners for flexibility. By starting treatment at the right time, we set the stage for a lifetime of healthy, confident smiles.
Adolescent Treatment Examples
Every smile is unique, and orthodontic treatment during the adolescent years can address a wide range of concerns. From closing gaps and correcting crowding to aligning crooked teeth and improving bite function, these examples highlight how braces or aligners can transform a teenager’s smile. Seeing what’s possible helps both parents and teens feel confident about the journey ahead.
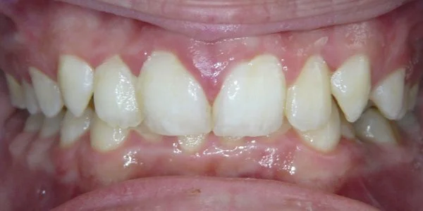
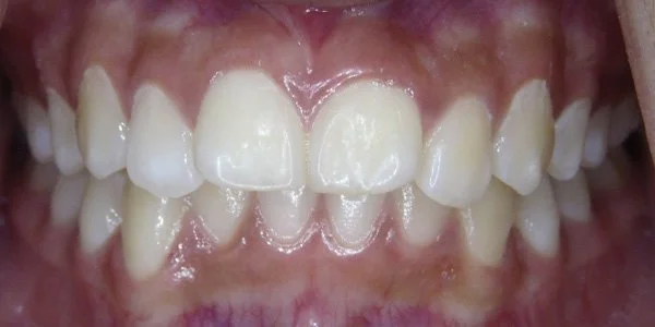
Adolescent Class I, Crowded
The most common malocclusion we treat is the Class Ⅰ crowded bite relationship.
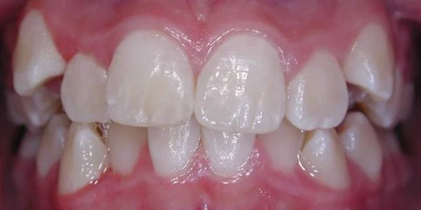
Adolescent Class III
This patient presents with a Class Ⅲ bite and crowding.
Deep Bite
The deep bite malocclusion is very common.
Impacted Teeth
Teeth that do not erupt and remain in the bone of the jaws are called impacted teeth.
Adolescent Class II, Div 1
A patient with a Class Ⅱ div 1 malocclusion.
Adolescent Class III w/ Underbite
The underbite is evident in this patient
Extra Teeth
Some people are born with extra teeth which we call supernumerary teeth.
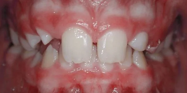
Missing Teeth
This patient is congenitally missing the two upper lateral incisors
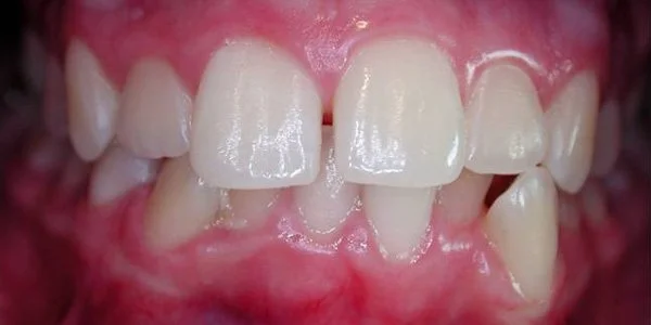
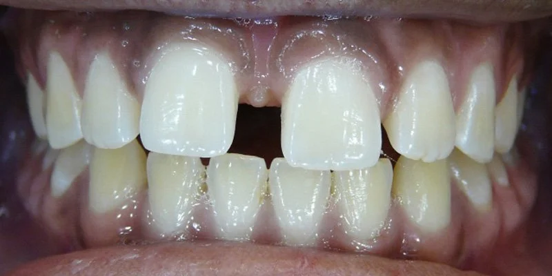
Spacing
Spacing is a commonly seen problem.